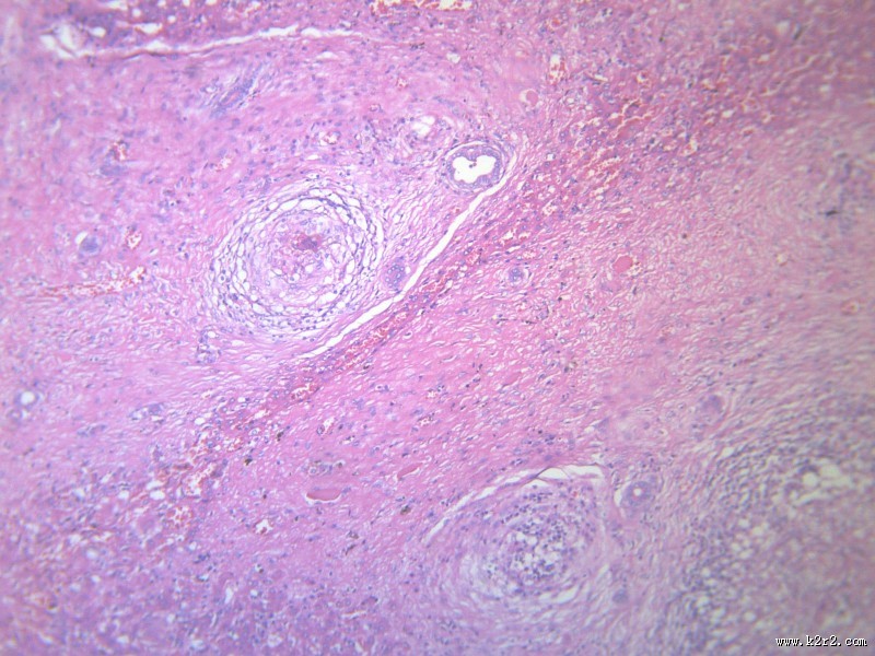
首页 > 其他类别 > 虫卵肉芽肿(12张) > 虫卵肉芽肿 第9张

虫卵肉芽肿 - 第9张

第 9 / 12 张
一夕一夏上传虫卵肉芽肿 图集中 / 共有 12 张图片
最近更新: 整洁舒适的床图片 树枝上的绿叶图片 栩栩如生威武的石雕狮子图片 微缩城市摄影图片 旭逸居-梁志天作品图片 星空中的月亮和宇宙中的月球图片 美丽的雪山景色图片 美味好吃的寿司图片 停歇在花朵上的蝴蝶图片 泰国曼谷风景图片 新鲜的猕猴桃图片 新疆天山牧场风景图片 翻开的书籍的图片 可爱女生化妆打扮图片 抽象艺术作品图片 绿叶上的瓢虫图片 海底风景图片 儿童积木玩具图片 夜空中的流星图片 台北香格里拉远东国际大饭店会议厅图片