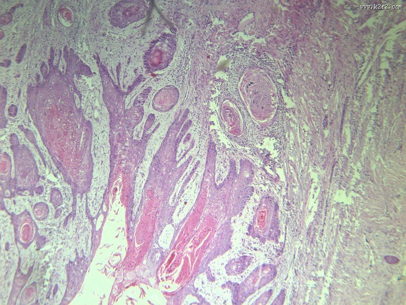
首页 > 其他类别 > 高分化鳞癌(12张) > 高分化鳞癌 第10张

高分化鳞癌 - 第10张

第 10 / 12 张
猫扑风铃上传高分化鳞癌 图集中 / 共有 12 张图片
最近更新: 感恩父母手抄报图片 绿色环保手抄报图片 家乡美食手抄报图片 感恩教育手抄报图片 歌颂祖国手抄报图片大全 民族一家亲手抄报图片一等奖全国 爱国诗词手抄报图片大全 交通安全伴我行手抄报图片 二年级数学手抄报图片 平安校园手抄报图片 气象手抄报图片大全 垃圾分类我先行手抄报图片 爱我中华心系国防手抄报图片 节约粮食的手抄报图片 感恩手抄报简单好看图片 打非手抄报图片大全漂亮 科普手抄报图片大全简单又漂亮 理想手抄报图片大全 勾股定理手抄报初二高清图片 强国有我主题手抄报图片