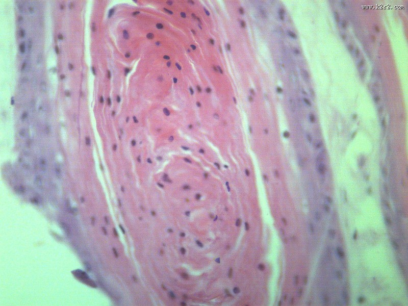
首页 > 其他类别 > 高分化鳞癌(12张) > 高分化鳞癌 第5张

高分化鳞癌 - 第5张

第 5 / 12 张
一夕一夏上传高分化鳞癌 图集中 / 共有 12 张图片
最近更新: 2023春节女生头像可爱 春节头像图片大全2023女 20张 2023年喜庆头像女 过年喜庆头像图片大全2023 20张 过年喜庆头像图片大全2023 过年喜庆头像兔年图片 20张 过年了换个喜庆的头像 2023过年图片喜庆头像 20张 中戏小清新美女许薇图片 关于夏洛的网手抄报 14张读书手抄报 外国风俗手抄报版面设计图 12张民风民俗手抄报 二十四节气清明节手抄报模板图片竖版 12张清明节手抄报 历史五千年手抄报 11张历史手抄报 日新月异的祖国手抄报作品 9张国庆节手抄报 替天行道手抄报拖图片 10张初中手抄报 创建卫生城市手抄报图片 16张文明城市手抄报 关于生活的健康手抄报图片 12张健康手抄报 道德法制手抄报六年级教程,道德法制手抄报简单的画法 9张法制手抄报 中华文化手抄报图片-传统文化戏曲+皮影戏手抄报图片 11张传统文化手抄报 1921-2021喜迎建党100周年手抄报 16张建党节手抄报 小学生自我介绍手抄报,自信让你更美丽 15张自我介绍手抄报 红色诗词手抄报绘画图片 春望+忆秦娥 · 娄山关 15张红色教育手抄报 教师节电子报图片 13张教师节手抄报 读书手抄报 了不起的狐狸爸爸 9张读书手抄报