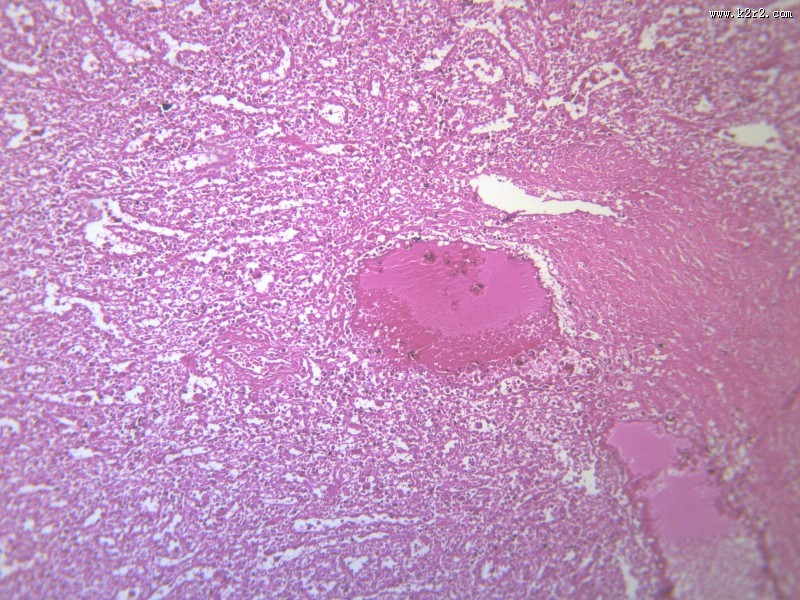
首页 > 其他类别 > 脾被膜玻璃样变(12张) > 脾被膜玻璃样变 第9张

脾被膜玻璃样变 - 第9张

第 9 / 12 张
猫扑风铃上传脾被膜玻璃样变 图集中 / 共有 12 张图片
最近更新: 我爱我的祖国手抄报 杰出人物手抄报的作品 禁毒手抄报漂亮第一名 3一6年级读书小报简单又漂亮 节约用水手抄报内容 重阳节小报简单又漂亮 心理健康手抄报图片 九月九重阳节手抄报 五~6年级一等奖手抄报 心理健康主题手抄报 欧洲民间故事手抄报 科技小报手抄报内容 劳动手抄报图片简单漂亮 一二三年级消防安全手抄报 我的书我的梦手抄报图片 神话故事手抄报四年级 创建文明城市手抄报内容 世界粮食日手抄报内容 神话手抄报1000张图片 创建文明城市手抄报