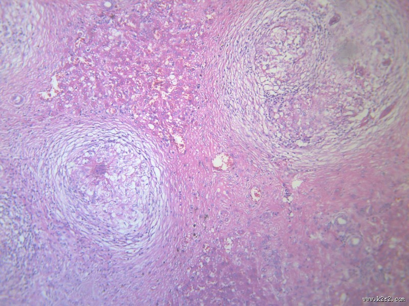
首页 > 其他类别 > 虫卵肉芽肿(12张) > 虫卵肉芽肿 第11张

虫卵肉芽肿 - 第11张

第 11 / 12 张
猫扑风铃上传虫卵肉芽肿 图集中 / 共有 12 张图片
最近更新: 光盘行动手抄报简单又漂亮 少先队员手抄报简单又漂亮 民族团结进步手抄报 重阳节手抄报里面写什么 我是小学生手抄报图片 朝花夕拾手抄报文字内容 弘扬传统文化手抄报 四年级上册数学小报 心理健康手抄报简单 有关重阳节的手抄报 少年中国说的手抄报怎么画 消防手抄报初一高难度 保护生态环境手抄报 关于阅读的手抄报简单又漂亮 小学生重阳节手抄报图片 消防安全知识内容手抄报 中小学生守则手抄报 防灾减灾手抄报内容简短 1~6年级法制手抄报简单 四年级上册数学第四单元手抄报