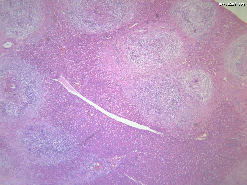
首页 > 其他类别 > 虫卵肉芽肿(12张) > 虫卵肉芽肿 第1张

虫卵肉芽肿 - 第1张

第 1 / 12 张
猫扑风铃上传虫卵肉芽肿 图集中 / 共有 12 张图片
最近更新: 田园风景图片大全 森林里植物的特写图片大全 西班牙巴塞罗那的建筑图片大全 德国爱尔茨城堡图片大全 美丽的海滩图片大全 女孩假期购物图片大全 江西上饶三清山自然风景图片大全 美味好吃的水果月饼图片大全 不同风格的凉亭图片大全 跳舞的男女组合图片大全 蝴蝶界的孔雀——孔雀蛱蝶图片大全 飞上天的热气球图片大全 光碟光盘图片大全 马来西亚仙本那风景图片大全 蓝色海岸6-1301室内设计图片大全 健康女性体态图片大全 TRAVEL-深田恭通作品图片大全 火山喷发图片大全 花丛中的孔雀蝴蝶图片大全 强壮的雄鹿甲虫图片大全