美景图片网
首页
自然风景
花卉图片
美食图片
城市风景
手抄报
头像
首页
> 肺炎图片_肺炎图片大全
自然风光
运动体育
植物花卉
节日图片
人物图片
健康疾病
美食世界
其他类别
物品物件
装饰装修
设计素材
建筑环境
广告设计
艺术绘画
城市旅游
海洋世界
动物图片
交通运输
美女图片
动漫影视
游戏图片
头像
手抄报
小分类
女生头型
侧脸男头
男头动漫帅气
高质量动漫女头
动画男头
外国男头
真人女头不露脸
佛头高清
q版男头
动漫头女
男头丧
青蛙头简笔画
痞帅女头
女头挡脸
情头情侣双人霸气
情头真人双人
大象头简笔画
男头冷酷
头发型女
女生情头双人
介绍
美景图片网为你提供肺炎图片, 肺炎高清摄影图片,肺炎背景图片, 肺炎高清壁纸下载。
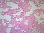
小叶性肺炎
0
0
1
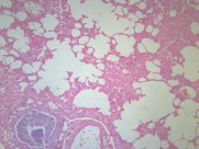
小叶性肺炎
0
0
1
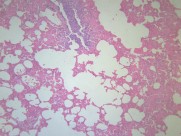
小叶性肺炎
0
0
1
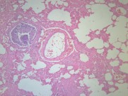
小叶性肺炎
0
0
1
小叶性肺炎
0
0
1
小叶性肺炎
0
0
1
小叶性肺炎
0
0
1
小叶性肺炎
0
0
1
首页
上一页
内容推荐:
唯美的枫叶图片
带露珠的花朵图片
飞溅的水滴图片
韩国济州岛自然风景图片
人和美丽雪景图片
潜艇图片
拉丝金属光泽图片
切开的猕猴桃图片
杭州萧山滨兴花园样板间图片
美女明星维多利亚·嘉丝蒂图片
美味的西梅图片
传统门环图片
漂亮的枫树和枫叶图片
日本富士山图片
绚丽的烟花图片
食品包装袋卡通造型设计图片
英国喷泉修道院建筑风景图片
红色的蜀葵图片
蚂蚁微距摄影图片
西班牙斗牛士:Spania