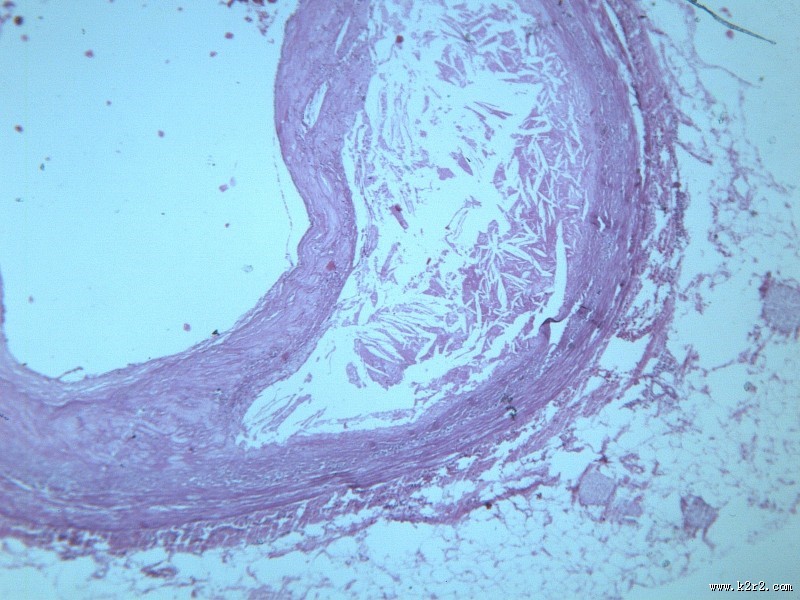
首页 > 其他类别 > 动脉粥样硬化(12张) > 动脉粥样硬化 第3张

动脉粥样硬化 - 第3张

第 3 / 12 张
一夕一夏上传动脉粥样硬化 图集中 / 共有 12 张图片
最近更新: 广州锦绣香江别墅样板间设计图片 长角的雄性梅花鹿图片 SLA 可爱儿童的生日聚会图片 各式各样的浴缸图片 美丽的石竹图片 山楂圈图片 优美的自然风景图片 女孩和气球图片 活泼可爱的海豚图片 北欧拉脱维亚首都老城里加建筑风景图片 黑色的老式电话机图片 2018新年数字素材图片 牙科治疗图片 沙滩森林里的吊床图片 医疗器械听诊器图片 肇庆鸿景观园中式样板房图片 在咖啡厅使用苹果笔记本和手机的年轻男子图片 摩托车图片 William