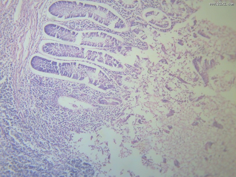
首页 > 其他类别 > 阑尾炎(12张) > 阑尾炎 第6张

阑尾炎 - 第6张

第 6 / 12 张
猫扑风铃上传阑尾炎 图集中 / 共有 12 张图片
最近更新: 数学小报六年级上册 少先队手抄报内容50字简单 1一6年级爱眼护眼手抄报大全 中国民间手抄报简单又漂亮 心理健康手抄报内容图片大全 手抄报防校园欺凌简单漂亮 健康手抄报简单又漂亮 防灾减灾手抄报简单的 手抄报防溺水的手抄报简单漂亮 反对浪费崇尚节约手抄报 国防教育手抄报简单好看 光盘行动手抄报简单又漂亮 少先队员手抄报简单又漂亮 民族团结进步手抄报 重阳节手抄报里面写什么 我是小学生手抄报图片 朝花夕拾手抄报文字内容 弘扬传统文化手抄报 四年级上册数学小报 心理健康手抄报简单